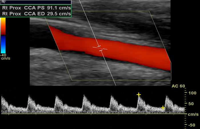
Το έγχρωμο Doppler υπερηχογράφημα ή triplex αγγείων είναι η μέθοδος με την οποία ελέγχουμε σε πραγματικό χρόνο την ροή του αίματος μέσα στα αγγεία του σώματος (π.χ. καρωτίδες, σπονδυλικές αρτηρίες, κοιλιακή αορτή, λαγόνιες αρτηρίες και φλέβες, φλέβες και οι αρτηρίες των άνω και κάτω άκρων) με τρόπο μη επεμβατικό, γρήγορο και ανώδυνο. Συγκεκριμένα, μας παρέχει πληροφορίες για την ανατομία των αγγείων, την τυχόν ύπαρξη αθηρωματικών πλακών ή στενώσεων στον αυλό των αρτηριών, την ύπαρξη και τον βαθμό επικινδυνότητας τυχόν ανευρύσματος της κοιλιακής αορτής, καθώς και για παθολογικές καταστάσεις των φλεβών ( θρόμβωση, βαλβιδική ανεπάρκεια).

Επίσης με τη χρήση του triplex είναι δυνατή η εκτίμηση της αγγείωσης του παρεγχύματος των διαφόρων οργάνων του σώματος, καθώς και η ανάδειξη της αιμάτωσης παθολογικών εξεργασιών.