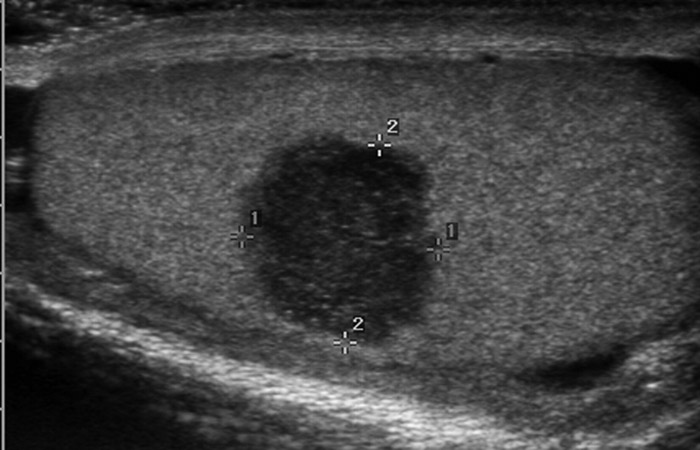
Με το υπερηχογράφημα του οσχέου ελέγχονται οι όρχεις και οι επιδιδυμίδες για την ανάδειξη τυχόν φλεγμονώδους διεργασίας (ορχίτιδα- επιδιδυμίτιδα), εστιακής βλάβης (π.χ. νεοπλασία), μετατραυματικών αλλοιώσεων, καθώς και για διαταραχές της αιμάτωσης (π.χ συστροφή όρχεως)

Επίσης καθίσταται δυνατή η απεικόνιση υγρικής συλλογής εντός του οσχέου (υδροκήλη, αιματοκήλη, πυοκήλη), ενώ με τη χρήση του έγχρωμου Doppler αποτελεί βασικό διαγνωστικό εργαλείο για τη διερεύνηση τυχόν κιρσοκήλης σε περιπτώσεις υπογονιμότητας.