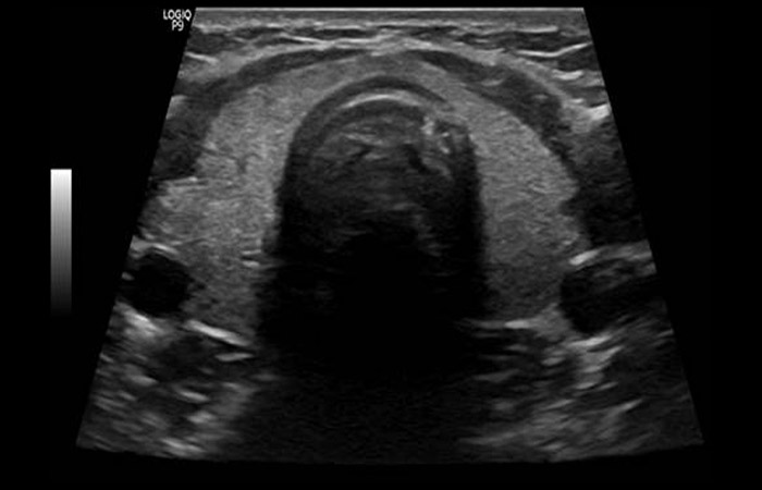
Το υπερηχογράφημα του θυρεοειδούς αποτελεί απεικονιστική εξέταση εκλογής για παθήσεις του θυρεοειδούς και των παραθυρεοειδών αδένων, ενώ είναι χρήσιμο και στην αξιολόγηση της μορφολογίας των τραχηλικών λεμφαδένων καθώς και στον προσδιορισμό της θέσης τους σε περίπτωση παθολογίας.

Με το υπερηχογράφημα, ο θυρεοειδής αδένας ελέγχεται για τις διαστάσεις του, την ομοιογένεια ή μη του παρεγχύματος, την παρουσία όζων καθώς και την αγγείωσή του.

Επίσης συμβάλει στην ανάδειξη τυχόν παθολογίας και στους παραθυρεοειδείς αδένες (παρουσία αδενωμάτων).

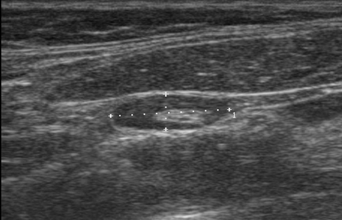
Με το υπερηχογράφημα τραχήλου πέρα από τον έλεγχο της ηχομορφολογίας των λεμφαδένων της περιοχής, απεικονίζονται και πιθανές άλλες αλλοιώσεις με την ίδια εντόπιση (π.χ. κύστη θυρεογλωσσικού πόρου, βραγχιακή κύστη).

Η μέθοδος σε συνδυασμό με τα δεδομένα της κλινικής εξέτασης αλλά και τις συμπληρωματικές αιματολογικές αναλύσεις παρέχει την δυνατότητα ασφαλούς αξιολόγησης από τον κλινικό ιατρό, υποκείμενης τυχόν παθολογίας.