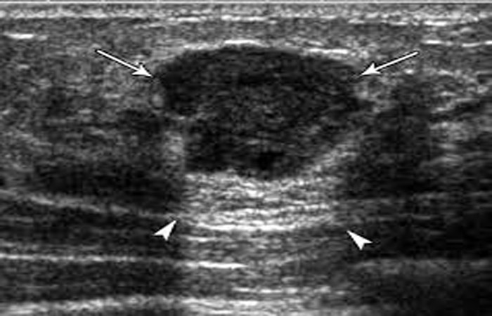
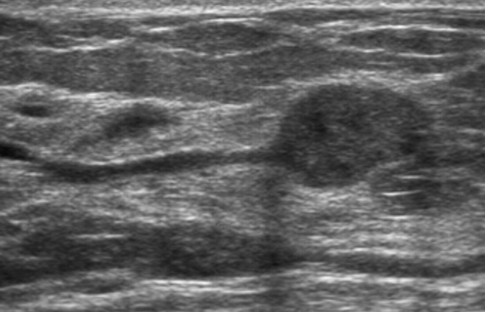
Το υπερηχογράφημα μαστών αποτελεί συμπληρωματική προς τη μαστογραφία εξέταση και δεν την υποκαθιστά, ιδίως σε γυναίκες άνω των 40 ετών.

Αποτελεί εξέταση πρώτης επιλογής σε ορισμένες περιπτώσεις όπως :

  • νέες γυναίκες (<40 ετών)
  • γυναίκες σε κατάσταση εγκυμοσύνης – θηλασμού, όταν επί κλινικών ενδείξεων (π.χ. εύρημα κατά την ψηλάφηση) κρίνεται απαραίτητη η περαιτέρω διερεύνηση, καθώς σε αυτές τις περιπτώσεις δεν ενδείκνυται μαστογραφικός έλεγχος ως αρχική εξέταση.

Στα πλεονεκτήματα της μεθόδου συμπεριλαμβάνονται η απουσία ιοντίζουσας ακτινοβολίας καθώς και το ανώδυνο - αναίμακτο αυτής.

Συμπληρωματικά προς την υπερηχογραφική εκτίμηση λειτουργεί η ελαστογραφία. Πρόκειται για μία σχετικά πρόσφατη τεχνική στον υπερηχογραφικό έλεγχο, η οποία συμβάλει στον προσδιορισμό – εκτίμηση της ελαστικότητας των ιστών (κατά κανόνα αλλοιώσεις αυξημένης σκληρίας συνηγορούν υπέρ κακοήθειας).